At MIT, innovation is focused on real-world impact — advancing research that improves everyday life through better healthcare, smarter infrastructure, and transformative technologies. Federal support is essential to this work, helping MIT turn bold ideas into practical solutions while training the next generation of leaders and innovators who will shape a better future for all.
Research that Matters
Human Health
New tissue models could help researchers develop drugs for liver disease
Two models more accurately replicate the physiology of the liver, offering a new way to test treatments for fat buildup.
A portable ultrasound sensor may enable earlier detection of breast cancer
The new system could be used at home or in doctors’ offices to scan people who are at high risk for breast cancer.
Designing the future of metabolic health through tissue-selective drug delivery
A company founded by three MIT alumni uses AI-guided protein design to deliver RNA and other therapeutic molecules to specific cells or areas of the body.
A protein found in the GI tract can neutralize many bacteria
The protein, known as intelectin-2, also helps to strengthen the mucus barrier lining the digestive tract.
Pills that communicate from the stomach could improve medication adherence
MIT engineers designed capsules with biodegradable radio frequency antennas that can reveal when the pill has been swallowed.
AI-generated sensors open new paths for early cancer detection
Nanoparticles coated with molecular sensors could be used to develop at-home tests for many types of cancer.
Study: High-fat diets make liver cells more likely to become cancerous
New research suggests liver cells exposed to too much fat revert to an immature state that is more susceptible to cancer-causing mutations.
New study suggests a way to rejuvenate the immune system
Stimulating the liver to produce some of the signals of the thymus can reverse age-related declines in T-cell populations and enhance response to vaccination.
A new immunotherapy approach could work for many types of cancer
Using new molecules that block an immune checkpoint, researchers showed they could stimulate a strong anti-tumor immune response.
A better DNA material for genetic medicine
With its circular single-stranded DNA molecules, an MIT spinout plans to make gene and cell therapies safer and more effective.
A new way to deliver antibodies could make treatment much easier for patients
Therapeutic antibodies packaged into microparticles could be injected with a standard syringe, avoiding the need for lengthy and often uncomfortable infusions.
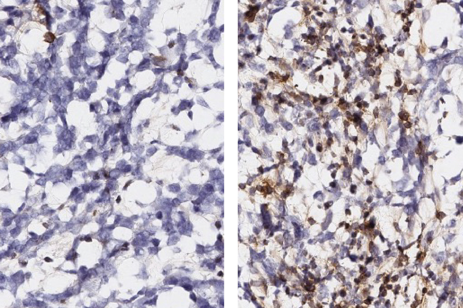
MIT researchers find new immunotherapeutic targets for glioblastoma
A study profiling antigens presented on immune and tumor cells in co-culture points to new strategies for attacking a treatment-resistant and deadly brain cancer.
MIT study shows how vision can be rebooted in adults with amblyopia
Temporarily anesthetizing the retina briefly reverts the activity of the visual system to that observed in early development and enables growth of responses to the amblyopic (“lazy”) eye.
Prognostic tool could help clinicians identify high-risk cancer patients
Using a versatile problem-solving framework, researchers show how early relapse in lymphoma patients influences their chance for survival.
Noninvasive imaging could replace finger pricks for people with diabetes
MIT engineers show they can accurately measure blood glucose by shining near-infrared light on the skin.
MIT chemists synthesize a fungal compound that holds promise for treating brain cancer
Preliminary studies find derivatives of the compound, known as verticillin A, can kill some types of glioma cells.
MIT study finds targets for a new tuberculosis vaccine
Researchers plan to develop vaccine candidates that they hope would stimulate a strong immune response against the world’s deadliest pathogen.
A new patch could help to heal the heart
MIT engineers developed a programmable drug-delivery patch that can promote tissue healing and blood vessel regrowth following a heart attack.
Turning on an immune pathway in tumors could lead to their destruction
MIT researchers show they can use messenger RNA to activate the pathway and trigger the immune system to attack tumors.
New nanoparticles stimulate the immune system to attack ovarian tumors
Targeted particles can jump-start T cells, allowing them to clear tumors while avoiding side effects.
Startup’s tablets deliver cancer drugs more evenly over time
An MIT team’s technology could allow cancer drugs to be delivered more steadily into the bloodstream, to improve effectiveness and reduce side effects.
A diet rich in the amino acid cysteine may promote regeneration of the intestinal lining
Findings from an MIT study may offer a new way to help heal tissue damage from radiation or chemotherapy treatment.
Technology originating at MIT leads to approved bladder cancer treatment
A system conceived in Professor Michael Cima’s lab was approved by the Food and Drug Administration after positive results in patients.
Novel approach to radiation therapy
Researchers have found that a specific protein may help cancer patients tolerate radiation therapy.
Smarter cancer therapies
A company founded by MIT researchers is pioneering an approach that could lead to more potent cancer treatments with fewer side effects.
Targeting tumors
Chemical engineers developed a way to mass manufacture nanoparticles that deliver cancer drugs directly to tumors.
Stopping the spread of tuberculosis
The findings of an MIT study provide new drug targets for stopping the infection’s spread.
Wearable device helps improve medical treatment
An innovative wearable device tracks individual blood cells to guide medical treatments.
Better radiologist reports
A new calibration method developed by MIT researchers can improve the accuracy of clinical reports written by radiologists.
Empowering hospitals
MIT is helping hospitals by providing free access to cutting-edge AI tools.
Better kidney transplant decisions
An MIT study could help policymakers analyze methods of matching donated kidneys and their recipients.
Read more about MIT’s research to improve human health.
National Security
Demystifying college for enlisted veterans and service members
For nearly a decade, the MIT Warrior-Scholar Project STEM boot camp has helped enlisted members of the military prepare for higher education.
New MIT program to train military leaders for the AI age
The new certificate program will equip naval officers with skills needed to solve the military’s hardest problems.
The unsung role of logistics in the US military
The MIT Supply Chain Management master's program hosts three Military Fellows each year from the US Army, reflecting the long-standing relationship between the military and the logistics industry.
Small, inexpensive hydrophone boosts undersea signals
MIT Lincoln Laboratory researchers designed the hydrophone using common micro-electromechanical systems (MEMS) parts for defense, industrial, and undersea research applications.
Power-outage exercises strengthen the resilience of US bases
Now mandated by law, Lincoln Laboratory’s blackout drills are improving national security and ensuring mission readiness.
Lincoln Laboratory technologies win seven R&D 100 Awards for 2025
Inventions that protect US service members, advance computing, and enhance communications are recognized among the year's most significant new products.
DOE selects MIT to establish a Center for the Exascale Simulation of Coupled High-Enthalpy Fluid–Solid Interactions
The research center, sponsored by the DOE’s National Nuclear Security Administration, will advance the simulation of extreme environments, such as those in hypersonic flight and atmospheric reentry.
AI for military logistics
MIT’s Lincoln Laboratory is transitioning tools to the 618th Air Operations Center to streamline global transport logistics.
A workhorse for national security
The U.S. Air Force and MIT have renewed their contract for operating the federally funded MIT Lincoln Laboratory, a long-standing asset for defense innovation and prototyping.
Safer airfield assessments
A U.S. Air Force engineer and MIT PhD student is using AI and next-generation imaging technology to detect pavement damage and unexploded munitions.
Building strong naval leadership
Through two programs at MIT, active duty naval officers gain the technical skills they need to lead projects in the Navy.
Helping the Air Force harness AI
The DAF-MIT AI Accelerator is designed to make fundamental advances in artificial intelligence to improve Air Force operations.
Read more about MIT’s contributions to national defense.
Agricultural Efficiency
Returning farming to city centers
A new MIT course teaches students about sustainable agriculture in urban areas.
Engineering next-generation fertilizers
An MIT postdoc harnesses plant chemistry to design sustainable fertilizers that could reshape modern farming.
Helping farmers address challenges
An MIT startup has built an automated system for growing plant-based feed and fertilizer using wastewater.
More efficient agriculture
With a new system developed at MIT, farmers could significantly cut their use of pesticides and fertilizers, saving money and reducing runoff.
Making agriculture more sustainable
A nitrogen product developed by an MIT professor is being used across millions of acres of American farmland.
Learn more about MIT’s research on agriculture.
Healthy Brains
Chemists determine the structure of the fuzzy coat that surrounds Tau proteins
Learning more about this structure could help scientists find ways to block Tau from forming tangles in the brain of Alzheimer’s patients.
Study suggests sensory stimulation may benefit some Alzheimer’s patients for years
Volunteers received 40Hz stimulation for around two years after an early-stage clinical study. Those with late-onset Alzheimer’s performed better on assessments than Alzheimer’s patients outside the trial.
Study explains how a rare gene variant contributes to Alzheimer’s disease
Lipid metabolism and cell membrane function can be disrupted in the neurons of people who carry rare variants of ABCA7.
Keeping aging brains healthy
MIT researchers are developing therapies to improve brain health and eradicate diseases like Alzheimer’s.
Safer football helmets
A former MIT linebacker led the development of a lightweight football helmet that’s been rated the safest ever tested.
Potential new Alzheimer’s treatment
A new peptide blocks a hyperactive brain enzyme that contributes to the neurodegeneration seen in Alzheimer’s.
Read more about MIT’s research on brain and cognitive sciences.
Disaster Response
MIT engineers design an aerial microrobot that can fly as fast as a bumblebee
With insect-like speed and agility, the tiny robot could someday aid in search-and-rescue missions.
Teaching robots to map large environments
A new approach developed at MIT could help a search-and-rescue robot navigate an unpredictable environment by rapidly generating an accurate map of its surroundings.
Robots for emergency response
SPROUT, developed by researchers at MIT Lincoln Laboratory and elsewhere, is a vine robot capable of navigating under collapsed structures.
Streamlined emergency response
First responders worldwide have adopted MIT Lincoln Laboratory's Next-Generation Incident Command System for enhanced situational awareness and coordination during emergencies.
Hurricane-tracking satellites
MIT Lincoln Laboratory has been recognized for excellence in commercializing small microwave sounders expected to improve weather forecasts.
Read more about MIT’s contributions to disaster response technologies.
Energy Resilience
Electrifying boilers to decarbonize industry
A company co-founded by an MIT alum developed a modular heat pump to electrify the centuries-old steam boiler.
Making clean energy investments more successful
Tools for forecasting and modeling technological improvements and the impacts of policy decisions can result in more effective and impactful decision-making.
New materials could boost the energy efficiency of microelectronics
By stacking multiple active components based on new materials on the back end of a computer chip, this new approach reduces the amount of energy wasted during computation.
What’s the best way to expand the US electricity grid?
A study by MIT researchers illuminates choices about reliability, cost, and emissions.
Helping power-system planners prepare for an unknown future
Macro, a modeling tool developed by the MIT Energy Initiative, enables energy-system planners to explore options for developing infrastructure to support decarbonized, reliable, and low-cost power grids.
MIT researchers demonstrate ship hull modifications to cut fuel use
Wedge-shaped vortex generators reduce drag in ship hulls, which could advance decarbonization for the shipping industry.
How artificial intelligence can help achieve a clean energy future
AI supports the clean energy transition as it manages power grid operations, helps plan infrastructure investments, guides development of novel materials, and more.
A new take on carbon capture
A company founded by MIT alumni developed a system that captures CO2 from factories and power plants while delivering steam to customers.
MIT-GE Vernova Climate and Energy Alliance
Five-year collaboration between MIT and GE Vernova aims to accelerate the energy transition and scale new innovations.
Fighting for the health of the planet with AI
An MIT assistant professor’s research applies machine learning to optimize renewable energy.
New prediction model could improve the reliability of fusion power plants
The approach combines physics and machine learning to avoid damaging disruptions when powering down tokamak fusion machines.
Cheaper, more efficient generation of hydrogen fuel
A novel design of palladium filters allows the membranes to withstand high temperatures.
Lidar helps gas industry find methane leaks and avoid costly losses
Lincoln Laboratory transitioned its optical-amplifier technology to Bridger Photonics for commercialization, enhancing US energy security and efficiency.
Boosting power grid resilience
MIT engineers have proposed a new “local electricity market” where rooftop panels, EV chargers, and smart thermostats could chip in to boost power grid resilience.
More efficient solar projects
Charge Robotics, founded by MIT alumni, has created a system that automatically assembles and installs completed sections of large solar farms.
Grid-scale energy storage
New research has found that liquid air energy storage could be the lowest-cost option for ensuring a continuous power supply on a future grid.
Read more about MIT’s research on energy.
Future of Work
Helping companies with physical operations around the world run more intelligently
A platform founded by two MIT alumni gives companies a central hub to learn from their workers, equipment, and other infrastructure.
“Robot, make me a chair”
An AI-driven system lets users design and build simple, multicomponent objects by describing them with words.
Exploring how AI will shape the future of work
For an MIT PhD student, the future of work means grasping AI’s role on our behalf while transforming and accelerating social scientific discovery.
New AI agent learns to use CAD to create 3D objects from sketches
The virtual VideoCAD tool could boost designers’ productivity and help train engineers learning computer-aided design.
Human-AI cooperation
Researchers at the MIT Center for Collective Intelligence found that the combination of AI and humans working together holds the most promise.
Training aerospace engineers
In an MIT class, students design, build, and test an electric turbopump for a rocket engine, facing challenges they will experience as practicing engineers.
Streamlining logistics
With machine learning, researchers developed a faster way to streamline processes like scheduling trains, routing delivery drivers, or assigning airline crews.
Read more about MIT’s research on the future of work.
Manufacturing and Entrepreneurship
Your future home might be framed with printed plastic
MIT engineers are using recycled plastic to 3D print construction-grade floor trusses.
A “scientific sandbox” lets researchers explore the evolution of vision systems
The AI-powered tool could inform the design of better sensors and cameras for robots or autonomous vehicles.
A new approach to carbon capture could slash costs
Chemical engineers have found a simple way to make capturing carbon emissions from industrial plants more energy-efficient.
MIT takes manufacturing education across the country
The new TechAMP program teaches production principles to workers, helping them advance their careers and identify savings at their firms.
Robots that spare warehouse workers the heavy lifting
A company founded by MIT alumni has developed machines that can autonomously load and unload trucks inside warehouses and logistic centers.
Unlocking ammonia as a fuel source for heavy industry
Four MIT alumni say their startup has the technology to help decarbonize maritime shipping, power generation, manufacturing, and more.
MIT startup aims to expand America’s lithium production
A company founded by an MIT alumnus and a professor is scaling up an electrochemical lithium extraction technology to secure supply chains of the critical metal.
Battery-powered appliances make it easy to switch from gas to electric
A company started by an MIT alumnus offers electric kitchen ranges that plug into standard wall outlets, with no electrical upgrades required.
New software designs eco-friendly clothing that can reassemble into new items
To reduce waste, a program developed at MIT helps users create outlines for adaptable clothing, such as pants that can be reconfigured into a dress. Each component of these pieces can be replaced, rearranged, or restyled.
A new MIT AI tool makes it easier to check the quality of materials
Acting as a “virtual spectrometer,” SpectroGen generates spectroscopic data in any modality, such as X-ray or infrared, to quickly assess a material’s quality.
Addressing global waste
Alumni entrepreneurs are applying MIT know-how to keep goods out of landfills, reduce energy costs in recycling, and provide safe sanitation.
Bringing manufacturing back
A collaborative network of makerspaces has spread from MIT across the country, helping communities make their own products.
Collaboration on essential chips for AI
An MIT research collaboration aims to deliver power efficiencies for data centers and ultra-low power consumption for intelligent devices at the edge.
Read more about MIT’s contributions to manufacturing, innovation and entrepreneurship.
Bottom Line
MIT drives American innovation through visionary research, technological breakthroughs, and its powerful impact on the economy.





























































































